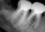
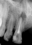
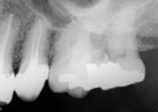
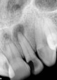
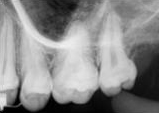
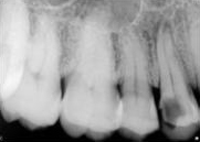
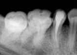
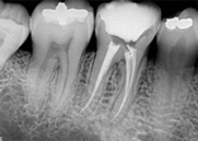
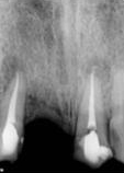
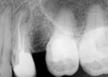
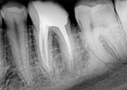
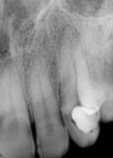
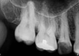
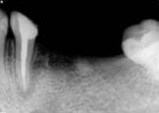
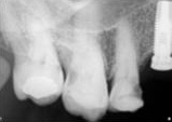
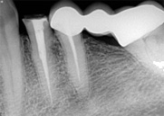
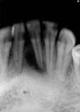
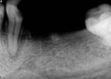
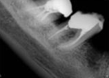
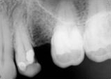
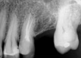
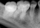
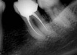
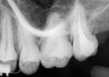
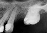
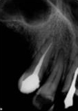
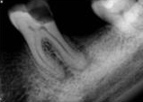
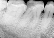
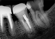
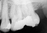
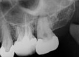
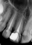
antes depois